
▲新冠肺炎患者肺部電腦掃描影像。(圖/香港醫管局,下同)
文/香港01
[廣告] 請繼續往下閱讀.
新型冠狀病毒肺炎在香港爆發近兩個月,全港至今日(12日)累計錄得129宗確診個案,當中逾70名病人已經出院。瑪嘉烈醫院傳染病中心綜合該院的病人數據發現,截至3月11日該院的26位患者當中,有10多人已經康復出院,其中2至3人覆診時發現肺部功能受損,步速較快時會氣促,當中更有人肺部功能損失兩至三成,病人出院後需持續做運動及物理治療護理。
瑪嘉烈醫院與另外兩間醫院將引入新抗病毒藥物瑞德西韋做臨床試驗,院方今日已與兩個病人商討參與試驗,但兩人病徵輕微,未必需用藥。
▲曾德賢指,康復出院的病人當中,有兩至三人的肺部功能受損。(圖/香港01授權提供,請勿隨意翻攝,下同)
瑪嘉烈醫院截至3月11日,共接收26名確診新型肺炎病人,醫管局臨床治療專責小組主席暨傳染病中心醫務總監曾德賢透露,26人當中有2人死亡,十多人已經出院,其中有2至3人出院後肺功能有受損,病人走路較急促時會感氣促,當中有人的肺部功能更下跌兩至三成。
[廣告] 請繼續往下閱讀..
曾德賢解釋,病毒性肺炎會令肺部出現纖維化,需靠藥物治療,亦可能會留下疤痕,這些疤痕變硬後會阻礙呼吸,病人出院後覆診時,除了會為病人做肺功能測試,亦會建議病人多做提升心肺功能的運動,如游泳、跑步等,亦需做令肺部擴張的物理治療,但現時未知此病對病人的長遠影響,需要繼續觀察。
▲蘇栩頎指出,一般流感的死亡率及嚴重個案比率均遠低於新型肺炎,籲市民勿掉以輕心。(陳倩婷攝)
近乎全部病人有發燒 數項細胞指標助醫生斷症
[廣告] 請繼續往下閱讀...
瑪嘉烈的26人當中有6人屬病情嚴重,5人需入住深切治療部(ICU)留醫,至今兩人死亡,其中一名死者無入住ICU。
病徵方面,有25人入院時均有發燒,較嚴重個案有半數均有呼吸困難。醫院為病人所做的化驗結果顯示,確診染病的病人體內的淋巴細胞偏低,反映發炎指數的C反應蛋白及乳酸脫氫酶會較高,若病人的降鈣素原同時偏低,即病人未必受細菌感染,較大機會染病毒性肺炎。
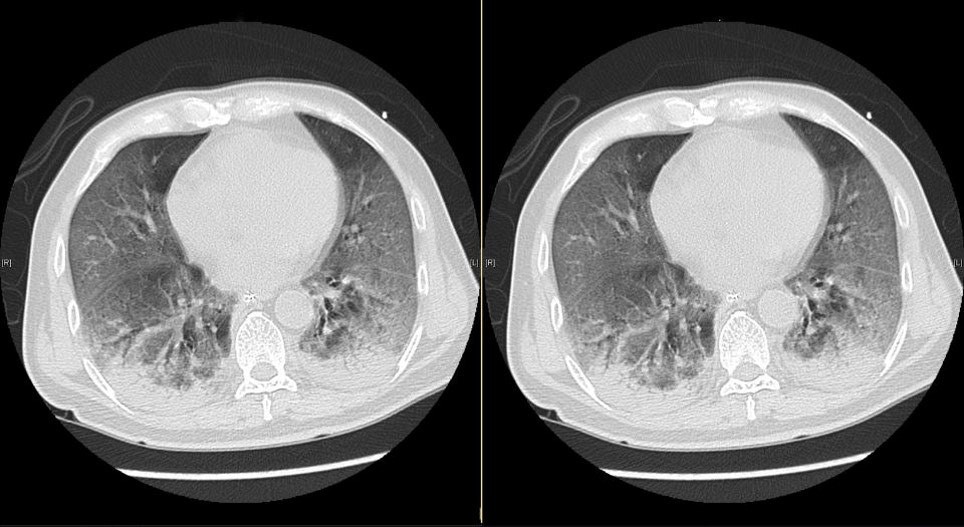
▲確診新型肺炎病人的肺部X光結果顯示,雙肺呈花白、混濁,主要在肺部的外圍,胸腔無積水。(圖/香港醫管局)
在傳播風險方面,病人的病毒量在發病後首星期最高,惟未必每個病人都有病徵,難以發現帶病毒人士,曾德賢承認或增新型冠狀病毒在社區擴散的風險,不過他指現時香港基本上全民口罩,對防止飛沫傳播的病毒有一定作用。他又形容本港正面臨第二波的輸入個案,提醒市民須注意個人衛生。
瑪嘉烈醫院深切治療部部門主管蘇栩頎亦提醒,雖然有指此病似嚴重流感,但新型肺炎的死亡率約3%,需轉入ICU的比率約11%,流感的死亡率則不超過1%,入ICU的比率亦低於10%,絕不能輕視。
5人不用藥康復 共通點:年輕、病徵輕微
目前醫管局主要使用三種抗病毒藥物:蛋白酶抑制劑、干擾素及利巴韋林治療病人,曾德賢透露,有16人使用用的藥物組合是蛋白酶抑制劑加上利巴韋林,另有5人無用抗病毒藥物便痊癒,他指出各人的共通點是年輕,而且病徵較輕微。
曾續指,各種藥物有一定副作用,有研究指蛋白酶抑制劑會令5至10%病人的肝酵素上升,而若發病後第二周才使用干擾素,或增加出現「細胞因子風暴」的風險,至於利巴韋林則或影響病人的甲狀腺功能。
新藥已到香港 正邀病人參與臨床試驗
醫管局的瑪嘉烈醫院、威爾斯親王醫院及瑪麗醫院均參與新藥物瑞德西韋的臨床試驗,曾德賢稱新藥已送抵瑪嘉烈,今日亦已經與兩個病人商討會否參與試驗,但他補充指,兩人的病徵較輕,肺花情況不嚴重,未知最終會否參加。
新藥試驗將招募中度至嚴重程度病人,血含氧量高於94%屬中度病人,將被抽籤進入三個組別之一,包括連續5日用瑞德西韋、連續10日用瑞德西韋、抑或沿用目前醫管局的治療方法;而血含氧量低於94%的嚴重病人,則會被編入辛續5日或10日用藥的組別。曾德賢引述內地研究顯示,由於該藥屬皮下注射,有兩成病人用藥後有血管發炎,有4%病人的肝酵素較正常高出3至5倍,需小心注意病人的肝臟情況。
【本文獲《香港01》授權轉載。】