
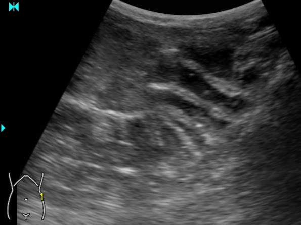
▲爸媽以為孩子便秘肚子痛,但超音波顯示腸胃炎。(圖/臭寶爸 - 兒科陳敬倫醫師授權)
文/臭寶爸 - 兒科陳敬倫醫師
[廣告] 請繼續往下閱讀.
最近病患因急性腸胃炎或腸胃型感冒就診的比例特別高(流鼻水咳嗽可以不看醫生,一直吐的不能忍Orz),雖然都是腸胃炎,家人互相傳來傳去,但每個人症狀不一定會一樣:胃發炎為主的就一直吐,小腸發炎的就絞痛和水瀉,大腸或直腸發炎的就頻繁解便、每次只上一點點,如果是諾羅病毒造成的腸胃型感冒還容易發燒、頭痛、肌肉痠痛。
平常排便不順、便秘的孩子得到腸胃炎時,常常只有腹痛(硬便塞著,水便拉不出來),就醫時有時會被當成便秘而被灌腸,甚至還附上軟便藥,回家就開始拉不停.........。照片就是爸媽以為孩子便秘肚子痛,但超音波顯示腸胃炎。
腸胃炎時不用做超音波檢查,但如果孩子有危險徵兆時,超音波可以用來檢查孩子是不是有危急需要盡快處理的問題,如腸套疊、腸阻塞、盲腸炎等等。
腸胃炎的危險徵兆:
https://bratologist.blogspot.com/2018/03/blog-post_67.html
另外,和新型冠狀病毒不同的,腸胃炎的病毒用酒精或乾洗手無法殺死喔,尤其是處理病患的嘔吐物或糞便後,一定要好好用肥皂洗手,才不會被傳染、吐到要往生~
[廣告] 請繼續往下閱讀..