
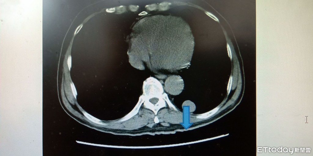
▲一名70歲王老翁,久咳不癒後至安南醫院就診,理學診斷發現罹患罕見「肺內異位性甲狀腺」。(圖/記者林悅翻攝)
記者林悅/台南報導
一名70歲王老翁,有超長的50年菸齡,久咳不癒後至安南醫院就診,發現罹患罕見「肺內異位性甲狀腺」,也就是原本在頸部的甲狀腺組織,竟然跑到肺部裡而引發,安南呼吸照護病房主任暨胸腔科醫師劉建興說肺內異位性甲狀腺病人,經過一段時間,可能會產生惡性變化,必須長期密切追蹤。
[廣告] 請繼續往下閱讀.
安南醫院呼吸照護中心主任劉建興醫師說此一罕見的病例職業為魚池看僱工,沒有甲狀腺病史,是因為病人抽煙50年後所引起發的慢性咳嗽氣喘,也就是一般通稱的慢性阻塞性肺疾病,來到醫院求診拍了胸部X光片,發現在左下肺有一個錢幣型陰影,大概是2.8公分的直徑大小,緊貼近左下肺葉後的胸部,病人除了呼吸道的症狀例如咳嗽、氣喘、胸悶、胸痛以外,並沒有甲狀腺亢進或低下的症狀如心悸、手部顫動、體重減輕,還有眼睛突出等症狀,而檢驗病人甲狀腺荷爾蒙結果也都在正常範圍裡面。
劉建興醫師指出,病人情況可以使用支氣管鏡切片診斷,也可以使用電腦斷層導引切片檢查,不需要外科開胸診斷,就可以來取出這個錢幣型陰影的組織做病理切片檢查,病理切片組織檢查結果為「肺內異位性甲狀腺」。這種肺內異位性甲狀腺的文獻報告大部分都是單一個異位性甲狀腺,只有兩個案例是兩側肺裡面有異位性甲狀腺。
劉建興醫師說「甲狀腺異位」,是來自於在胚胎發育時,甲狀腺組織一般都會在頸部的甲狀腺的位置發育完成,也許會在另外一個地方例如甲狀腺周邊的地方或者是胸腔裡面。甲狀腺異位發生的機率大概是30萬分之一,在胚胎時期產生的甲狀腺異位的位置。一般比較常見甲狀腺異位的地方會在於靠近正常甲狀腺旁邊,和其他有文獻報告的地方包括下顎、氣管旁、中膈腔、心臟、十二指腸、腎上腺旁、腮腺的旁邊等等。至於在肺裡面的異位甲狀腺,是非常稀少的,截至2016年為止,醫療文獻上大概只有9個案報告,此案例為全球第10例。
劉建興醫師說大部分的病人都是沒有症狀的,也就是說沒有甲狀腺亢進或低下的問題。被發現的案例大部分是因為肺部,或呼吸道的問題或者胸腔其他的問題,尋找醫治在拍X光片時被偶而發現到。甚至是在死亡以後,被解剖發現到肺部有異位性甲狀腺。
劉建興醫師強調,這一類病人診斷後,必須要長期追蹤,因為這種肺內異位性甲狀腺產生經過一段時間,可能會產生惡性變化,如果有產生惡性變化的時候,變成甲狀腺癌,就必須要開刀把它切除,所以必須要高度懷疑這一類的肺內異位性甲狀腺惡化成甲狀腺癌,如果確認有此情形,就必需開刀切除。
[廣告] 請繼續往下閱讀..