
▲刷牙沒刷乾淨,小心蛀牙、牙周病找上門。(圖/臺大醫院竹東分院提供)
記者陳凱力/新竹報導
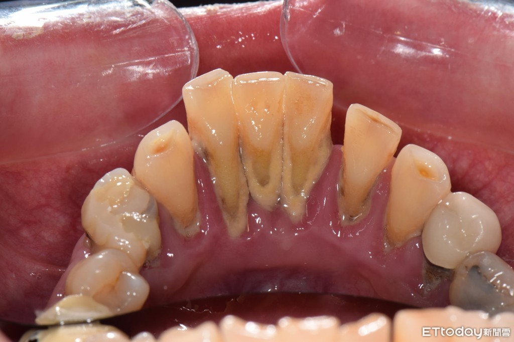
口腔內的細菌多到嚇人,根據研究指出,健康的牙齒牙齦溝約有103個細菌,牙齒表面約有109個,如果有牙周病,單一顆牙齒就有1011個,而目前分子生物學已經確認口腔內的菌 種高達700多種。俗話說預防重於治療,因此,避免蛀牙或是牙周病就要從好的口腔清潔著手。
[廣告] 請繼續往下閱讀.
▲刷牙沒刷乾淨,小心蛀牙、牙周病找上門。(圖/臺大醫院竹東分院提供)
台大醫院竹東分院牙科部吳崇瑋醫師表示,不論是造成蛀牙或導致牙周病的細菌,繁殖力都很強。食物殘渣停留在口腔沒多久就開始發酵,變成培育細菌的養分,當口腔中的細菌被糖蛋白成分所吸附黏在牙齒上,在牙齒表面與縫隙內逐漸演變成薄膜狀的菌落,這就是「牙菌斑」,也是將來得到牙周病的主因。
而蛀牙的發生主要有三個因素,「細菌、食物以及時間」,若食物殘渣沾附在牙齒的表面,經細菌一段時間的分解,產生酸性物質導致最外層琺瑯質脫鈣,表面會失去光滑而變成白白的片狀,這就是蛀牙的前兆,如果持續不注意口腔清潔,就會形成蛀牙。
[廣告] 請繼續往下閱讀..
吳崇瑋醫師提醒,落實進食後及睡前潔牙,可以有效地降低蛀牙以及牙周病的發生,蛀牙好發的位置,常見是兩顆牙齒的接觸的「鄰接面」,不論是前牙門齒區或是後牙臼齒區,都是蛀牙發生比例高的地方,此時「牙線」的使用相當重要。
其次好發的蛀牙位置位於牙齒與牙齦的交際「齒頸部」,主要因為許多人刷牙時忽略了靠近牙齦部分的齒頸部區域,導致大量牙菌斑沾附其上,除了會造成蛀牙的發生,也會產生牙齦發炎與牙周病的問題。因此,刷牙時務必要確實清潔齒頸部的齒質與牙肉,才能達到預防的效果。
若出現下列症狀或徵兆,代表可能是牙周病的警訊!
刷牙時牙齦出血,或平時也會流血
口臭或口腔有異味
牙齦從粉紅色變為暗紅色
牙齦腫脹或產生膿包
牙齦萎縮,牙根暴露及牙縫變大
[廣告] 請繼續往下閱讀...