
▲骨科張伯羣醫師示範HTO截骨矯正手術,強調不管在台灣還是日本歐美,保膝治療的技術,已越來越成熟且是未來的趨勢。(圖/安南醫院提供)
記者林悅/南市報導
退休吳先生本想享福遊山玩水,但膝關節退化卻常作怪,輕則內側刺痛無法開心散步,或是紅腫痠痛影響日常生活,越來越呈現O型腿現象,台南市立安南醫院骨科確認關節退化內翻超過10度,經接受矯正手術,解除病人害怕膝關節術後活動角度受限之疑慮。
[廣告] 請繼續往下閱讀.
張伯羣醫師說,大部分膝關節的退化變形,都是從內側關節面開始,隨之而來是逐漸的內翻變形及行走困難。過去針對膝關節退化,除了保守治療吃藥、復健及休息外,往往只剩更換人工關節為最後手段。
不過,置換人工關節其實是一種破壞性的手術,係將膝關節原有軟骨及韌帶切除,用金屬覆蓋後,中間附加墊片,讓植入物替代原有關節的功能。人工關節畢竟不是上天給我們的,設計上會有先天上的限制,除了墊片磨耗有年限外,彎曲角度要超過120度相當不容易,此外感染風險也要注意。
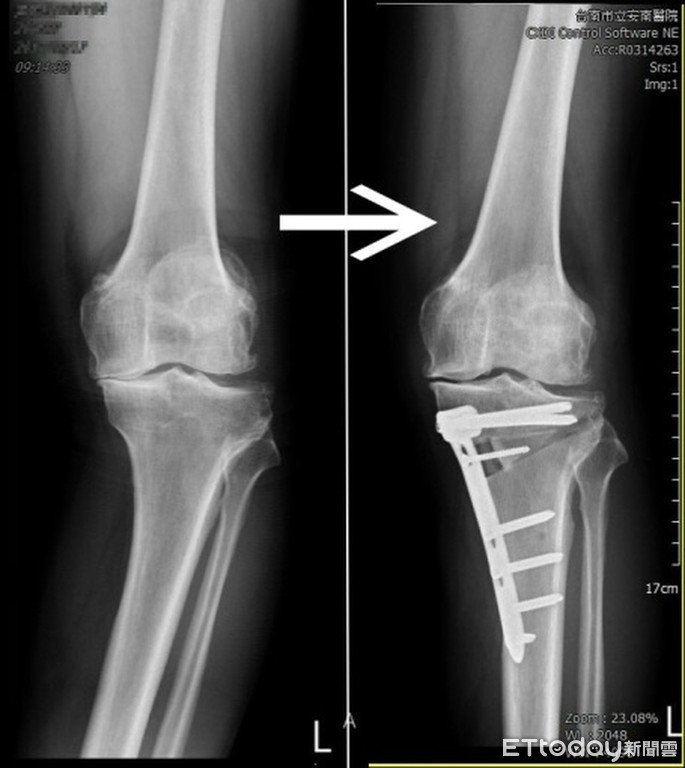
▲患者術前及術後X光影像。(圖/安南醫院提供)
[廣告] 請繼續往下閱讀..
其實中後期的膝關節退化,如果只有內側關節面的磨耗,不一定得接受人工關節置換,HTO高位脛骨截骨矯正術(High tibial osteotomy)也是另一個選擇。張伯羣醫師指出,HTO手術保留住所有關節面的軟骨韌帶,在關節下方開一個缺口,把一小塊骨頭補進這個缺口,最後上下兩端用鋼板固定好,把內翻矯正成直線,讓上半身的重量平均的分布在膝關節左右。
張伯羣表示,手術後用時間讓骨頭好好癒合,助行器保護1至2個月後即可恢復一般行走,關節處因重力平均分布而疼痛改善。手術效果可保護膝關節本身的軟骨磨耗,進而大大拖延往後可能更換人工關節的時程(根據大部分研究資料,平均可達十年以上)。矯正手術的成本比人工關節手術還低,失血量也較少,疼痛指數較低,術後彎曲的角度會比人工關節還靈活,也大大降低感染的風險。
▲患者術前及術後外觀不同。(圖/安南醫院提供)
[廣告] 請繼續往下閱讀...
張伯羣醫師提醒,HTO高位脛骨截骨矯正術諸多好處雖甚多但不是萬能,如關節磨耗變形太嚴重,體重過重,或抽菸影響骨質的族群,就不太適合施做。對於50至65歲相對年輕的病人來說,膝退化變形如只影響單一關節面,體重適當同時體力良好且不抽菸的病友,可以考慮以截骨矯正來取代人工關節。
張伯羣醫師強調,不管在台灣還是日本歐美保膝治療的技術,已越來越成熟且是未來的趨勢,惟在收治膝關節病變患者時,必須經過矯正保留膝關節可能性的評估,在確定不適合接受保膝治療的選擇後,醫師才會執行膝人工關節置換手術。